교정장치 종류
교정장치 종류에는 자가결찰교정장치, 설측교정장치, 콤비교정장치, 투명교정장치가 있습니다.
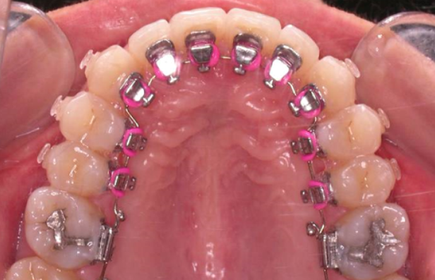
자가결찰교정장치
바른이 치과에서는 치아에 지속적인 힘을 가하고 치아가 움직일 때 마찰력을 줄여 치아의 이동속도가 빠르고 치료 초기 통증기간이 적은 자가결찰교정 장치를 사용합니다.


설측교정장치
치아교정을 해야 하지만 심미적인 이유로 망설이시는 분들을 위한 장치입니다.



콤비교정장치
잘 보이는 윗니에는 설측교정으로, 잘 안보지 않는 아랫니에는 순측교정장치를 하는 교정치료입니다. 설측교정보다 경제적이고 일반적 순측교정보다 심미적인 심미성과 경제성을 동시에 갖춘 교정입니다.


투명교정장치
탈착이 가능한 투명 플라스틱 틀을 이용한 치아교정장치입니다. 브라켓을 치아에 직접 부착하지 않아서 심미적이며 쉽게 끼웠다 뺐다가 가능하여 위생관리가 용이합니다.

